Глава британського Інституту Алана Тьюринга йде у відставку
                Майбутня мілітаризація штучного інтелекту: що станеться з Британським інститутом Тьюрінга та з нами? В останні роки ми спостерігаємо експоненціальне зростання інтересу до штучного інтелекту...            
            
        Метеорити Персеїди сяють разом з Чумацьким Шляхом над давньоєгипетським храмом на...
                Небесна симфонія античності: коли Чумацький Шлях танцює над руїнами Сокнопаю Уявіть собі: Тиха ніч в єгипетському Оазисі Фаюм, стародавні камені храму, присвяченого Богу-крокодилу Сокнопаю,...            
            
        «Ракета — ваш рятівник!»: Новий трейлер бойовика » Borderlands 4 «закликає...
                Втеча від Землі: "Borderlands 4" і наше колективне несвідоме Недавній трейлер "Borderlands 4" викликав в мені не просто передчуття нової порції божевільного шутера. Він...            
            
        «Складний і витончений» Кельтський військовий амулет, якому 2200 років, є свідченням...
                Кельтські воїни: більше, ніж страхітливий образ-погляд на майстерність та соціальну структуру Знахідка бронзової статуетки кельтського воїна в Німеччині, датована третім століттям до нашої ери,...            
            
        NASA та IBM створили штучний інтелект для прогнозування сонячних спалахів до...
                Сонце в Мережі: як штучний інтелект вчиться "відчувати" настрій зірки і захищає Землю від космічних бур Сонце-джерело життя на Землі, але його міць таїть...            
            
        Нові дослідження вказують на те, що причиною існування життя на Землі...
                Космічний подарунок: як зіткнення з Теєю подарувало життя Землі Уявіть собі Землю в її дитинстві-розпечений куля, оповитий лютою атмосферою, зовсім не схожий на блакитну...            
            
        Космічний телескоп Джеймса Вебба виявив дивний планетоутворюючий диск навколо молодої зірки
                Космічна загадка XUE 10: що телескоп Джеймса Вебба розповів про формування планет? Космос ніколи не перестає дивувати. Кожен новий телескоп, кожен новий метод спостереження...            
            
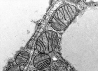
        Дослідники виявили новий мікропротеїн, який контролює метаболізм жирових клітин мишей
                Мікропротеїни: Нова ера в розумінні метаболізму та Здоров'я Ми живемо в епоху дивовижних відкриттів у біології. Ще недавно вважалися "генетичним сміттям", мікропротеїни, як виявилося,...            
            
        Лауреат Нобелівської премії і першовідкривач гравітаційних хвиль Райнер Вайс помер у...
                Райнер Вайс: спадщина, що трясе Всесвіт Смерть Райнера Вайса-це не просто втрата видатного вченого, це втрата архітектора нової ери в розумінні Всесвіту. Його ім'я...            
            
        Вебб виявив Тор з космічного пилу і органіки в туманності Метелик
                Космічний бублик і вуглецевий дим: що телескоп Джеймса Вебба відкрив у серці туманності Метелик Нещодавні спостереження космічного телескопа Джеймса Вебба (JWST) зробили справжній прорив...            
            
        




















